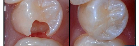
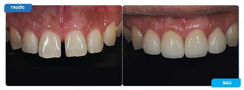
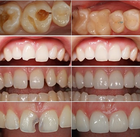
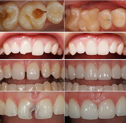
Trám răng thẩm mỹ laser (hoặc trám răng công nghệ halogen quang trùng hợp) là phương pháp trám răng hiện đại với việc sử dụng vật liệu trám là composite nha khoa kết hợp chiếu đèn laser (hoặc chiếu đèn halogen quang trung hợp) để khôi phục các phần răng bị gãy, mẻ, vỡ, lỗ sâu răng hoặc để khắc phục các khuyết điểm cho răng thưa hay răng hở kẽ.
Đầu tiên, nha sĩ sẽ đo màu răng thật để pha composite nha khoa sao cho có màu đồng nhất với răng thật, rồi đưa composite lên răng và dùng dụng cụ nha khoa để tạo hình cho răng sao cho giống răng thật với tính thẩm mỹ cao. Cuối cùng là chiếu laser để làm đông cứng composite và cố định vững chắc composite vào răng thật.
Ai nên trám răng thẩm mỹ?
Trám răng thẩm mỹ laser – composite được áp dụng đặc biệt hiệu quả trong những trường hợp: Răng sâu, răng sâu nặng có lỗ sâu khá lớn, răng bị vỡ, răng gãy, răng mẻ, răng có kẽ hở (hở kẽ chân răng), răng thưa nhưng không quá nghiêm trọng.

Lưu ý: Với răng thưa nghiêm trọng, sâu răng có viêm tủy, gãy răng quá lớn thì không nên trám răng laser mà nên áp dụng các phương pháp phục hình răng sứ để đảm bảo tính lâu dài và đảm bảo sức nhai khỏe, bảo vệ răng tốt hơn.
Trám răng thẩm mỹ laser – composite có bền không?
Trám răng thẩm mỹ Laser – Composite có độ bền vượt trội hơn so với trám răng bằng phương pháp truyền thống do:
– Composite được sử dụng là chuyên dùng cho nha khoa: khả năng chịu lực cao, không giãn nở vì nhiệt, kháng mòn, màu được duy trì lâu dài.
– Composite được dùng ban đầu ở thể sệt nên dễ dàng tạo hình răng và không để lại khe hở giữa răng và chất liệu trám, sau đó bác sĩ sẽ chiếu đèn chiếu laser (hoặc đèn Hologen quang trùng hợp) để đông cứng composite và kết dính vào răng thật. Do đó, trám răng thẩm mỹ laser – Composite có tính thẩm mỹ cao, thời gian sử dụng lâu hơn.


Tính thẩm mỹ của trám răng laser
Đây chính là đặc điểm ưu việt nhất của trám răng thẩm mỹ laser.
– Chất liệu trám luôn có màu đồng nhất với răng thật (đo màu răng thật rồi mới pha màu composite) và khả năng kháng xuống màu, nhiễm màu giúp răng sau khi trám có màu như răng thật và giữ được màu lâu dài.
– Composite ban đầu là dạng sệt nên việc tạo hình răng sẽ dễ dàng do đó, về mặt hình thể răng cũng giống như răng thật.

Trám răng thẩm mỹ laser – composite có đau không, có an toàn không và diễn ra trong bao lâu?
Trám răng thẩm mỹ laser hay halogen quang trùng hợp hoàn toàn không đau, nhưng sẽ có cảm giác hơi ê răng.
Trám răng laser (halogen quang trùng hợp) với composite nha khoa là hoàn toàn lành tính, không gây kích ứng cơ thể. Còn laser được chiếu vào là chuyên dùng trong nha khoa và cũng không bất cứ ảnh hưởng tiêu cực nào cho cơ thể.
Thời gian để trám một răng sẽ dao động từ 30 – 45 phút tùy theo bệnh lý là gì. Trám răng thưa đương nhiên sẽ có thời gian lâu hơn trám răng sâu.
Chi phí trám răng laser tại Dentel là bao nhiêu?
Trám răng & đắp răng thẩm mỹ, inlay, onlay
Thẩm mỹ răng thưa, kẻ hở, mẻ, vỡ, đen
Đắp mặt răng 500.000
Đắp kẻ hở, thưa 800.000
Trám sứ răng mẻ, vỡ 300.000
Inlay – onlay sứ Zirconia, Cercon 4.000.000
Thẩm mỹ răng ngắn
Làm dài thân răng 1.000.000
Làm dài thân răng nguyên hàm 6.000.000
So sánh trám răng thẩm mỹ và trám răng truyền thống
| | Trám răng thẩm mỹ | Trám răng truyền thống |
| Tính thẩm mỹ | Tính thẩm mỹ cao, vật liệu trám đều màu. Màu sắc tự nhiên như răng thật khó nhận biết khi nhìn trực tiếp. | Tính thẩm mỹ thấp, vật liệu trám dễ tối màu chỉ sau thời gian ngắn sử dụng. |
| Tuổi thọ | Từ 5 – 7 năm. | Dưới 3 năm. |
| Mức độ kích ứng | Thân thiện với cơ thể, không bị kích ứng khi ăn các thực phẩm nóng lạnh. | Nhạy cảm khi ăn các thực phẩm quá nóng/quá lạnh. |
| An toàn | An toàn, không gây bất cứ phản ứng hóa học nào với cơ thể. | An toàn với cơ thể. |
Lưu ý: Trám răng tuy không quá phức tạp nhưng luôn cần 3 yếu tố: Công nghệ hiện đại, chất liệu trám an toàn và có chất lượng, bác sĩ có kinh nghiệm tạo hình răng thẩm mỹ cao với chất liệu trám. Do đó, khi chọn cơ sở để trám răng khách hàng cần lưu ý các vấn đề này, đặc biệt là chất liệu trám. Nha khoa phải cam kết được họ sử dụng chất liệu trám có chất lượng, an toàn cơ thể và có xuất xứ rõ ràng. (Bác sĩ Nguyễn Thị Mỹ Hạnh – Khoa thẩm mỹ nha khoa và phục hình răng sứ tại Dentel)